Clear Aligners
Are you self-conscious about your crooked teeth?
Do you wish to have a complete and confident smile?
What Kind of orthodontic issues are you having Today?
Clear Aligners in Launceston
At Dental Aligners Launceston, we are dedicated to improving the aesthetic of your smile through our top-notch Clear Aligners.
Professional Clear Aligners for Enhancing Your Smile
Consultation and
Planning
Digital
Scan
Transform Your
Smile
Invisible
Benefits
Payment
Plans
Get an Assessment
Clear Aligners at Dental Aligners Launceston: Wise Choice
All Ages
Comfort
Easy Dental Aligners Payment Plans for You
What is Clear Aligners?
- A modern orthodontic solution: Clear aligners are custom-made plastic trays designed to gently shift teeth into proper alignment without the need for metal braces.
- Transparent and removable trays: These nearly invisible aligners can be easily removed for eating, brushing, and flossing, offering a seamless fit into your daily routine.
- Ideal for discreet orthodontic treatment: Clear aligners provide an effective solution for correcting misaligned teeth while maintaining a natural appearance during the treatment process.
Advantages of Clear Aligners
- Virtually invisible appearance: Clear aligners are made from transparent material, ensuring discreet orthodontic treatment without the noticeable wires and brackets of traditional braces.
- Removable for convenience: Their removable design allows you to enjoy all your favourite foods and maintain an effective oral hygiene routine throughout treatment.
- Customised for comfort: Precision-engineered aligners are tailored to fit snugly over your teeth, minimising irritation and discomfort compared to fixed orthodontic options.
When to Get Clear Aligners?
- For mild to moderate misalignment: Clear aligners are ideal for treating cases of crowding, spacing, and bite issues that don’t require surgical intervention.
- When seeking discreet treatment: Their transparent design ensures a virtually invisible appearance, making them a perfect choice for adults and image-conscious teens.
- To maintain lifestyle flexibility: Clear aligners are removable, allowing for uninterrupted eating, brushing, and flossing routines while delivering consistent orthodontic results.
Why to Get Clear Aligners?
- For customised comfort and precision: Advanced 3D technology ensures aligners are tailored to fit perfectly, minimising discomfort and improving treatment accuracy over time.
- To enjoy fewer clinic visits: Clear aligners reduce the need for frequent in-person adjustments, making them a convenient option for busy schedules.
- For effective and hygienic treatment: Their removable nature supports better oral hygiene, reducing the risk of cavities or gum disease compared to traditional fixed braces.
What Problems Can Clear Aligners Fix?
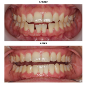
- Crowded or overlapping teeth: Clear aligners gently reposition teeth that are too close together, improving alignment and making brushing and flossing more effective.
- Gaps and spacing issues: They close spaces between teeth, creating a more uniform appearance while preventing food traps that can lead to oral health problems.
- Mild bite misalignments: Clear aligners can correct overbites, underbites, and crossbites, enhancing jaw function and reducing strain on teeth and surrounding structures.
Process for Clear Aligners
- Initial consultation and assessment: A dentist evaluates your teeth, takes digital scans, and creates a personalised treatment plan using advanced 3D imaging technology.
- Custom aligner fabrication: Clear aligners are crafted to fit your teeth precisely, gradually shifting them into place through a series of sequential aligners.
- Ongoing monitoring and adjustments: Regular dental check-ups ensure treatment progresses as planned, with new aligners provided every few weeks to continue the alignment process.
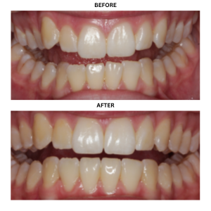
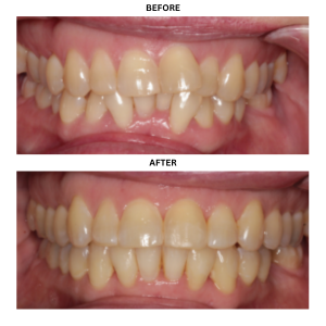
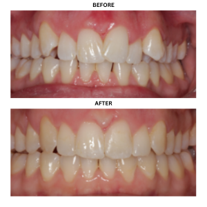
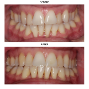
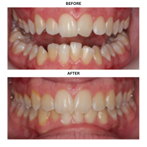
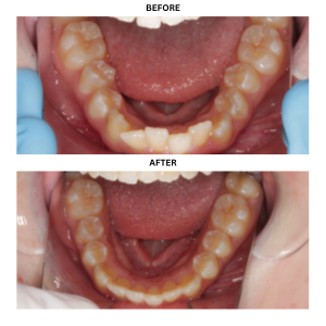
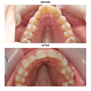
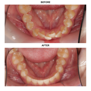
Transformative Smiles: A Professional Exploration.










Choose Us: Experience the Advantages of Professionalism
Expertise
Technology
Experience
Google Ranking
Plans
Our Procedures
How do I book an appointment
What if I am anxious to visit the dentist?
We know it can be a daunting process, so we make sure we guide you through every step of the way and make you feel as comfortable as can be. Our team is trained to help you feel at ease from the moment you arrive in our practice, additionally we also offer various means of sedation
Do you offer government rebates
Can I pay in installments?
We offer various competitive interest free payment plan options that will allow you to pay for your selected treatment in flexible installments.
Our Treatments
Who can have clear aligners
Who can have this treatment?
Is Invisalign treatment actually faster vs traditional braces?
I heard that Aligners can ruin my teeth, is this true?
Our Affliliates























At Dental Aligners Launceston, We aim to care for all aspects of your Clear Aligners whether you looking to fix Open Bite, Cross Bite , Over Bite , Under Bite, Gaps in Teeth, Crooked Teeth
Business Hours
- Monday: 9am - 6pm
- Tuesday: 9am - 6pm
- Wednesday:9am - 5pm
- Thursday: 9am - 6pm
- Friday: 7am - 5pm
- Saturday: 9am -1pm
- Clear Aligners
- Get Free Assessment






